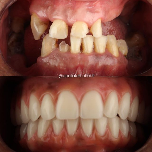
A reabilitação oral é um tratamento que envolve uma combinação de procedimentos odontológicos para restaurar a função e a estética da boca. Esse tratamento é indicado para pacientes que apresentam problemas bucais mais complexos, que exigem múltiplos cuidados ao mesmo tempo. O processo inclui desde a resolução de problemas urgentes até a reestruturação completa dos dentes e da saúde bucal.
Objetivo: Recuperar a mastigação, a estética do sorriso e a confiança dos pacientes, permitindo que eles voltem a se socializar e a viver sem desconfortos.
Vantagens da Reabilitação Oral
- Tratamento Completo e Personalizado:
Após uma avaliação inicial, é feito um planejamento detalhado para tratar as questões mais urgentes, como dores, fraturas, canais e extrações, seguido pela reabilitação estética com próteses, facetas, lentes de contato e restaurações.
- Restaurando a Função e a Estética:
Além de devolver a função mastigatória, a reabilitação oral também restaura a estética do sorriso, melhorando a aparência e a autoestima do paciente. Casos mais graves, como falta total de dentes, podem ser resolvidos com implantes e próteses fixas.
- Prótese Protocolo:
Para pacientes que perderam muitos dentes, utilizamos a prótese protocolo, uma prótese fixada em implantes que não é removida no dia a dia. Esse tipo de prótese oferece estabilidade e conforto, sendo removida apenas pelo dentista para manutenções periódicas.
- Melhorando a Qualidade de Vida:
Pacientes que evitavam o convívio social devido a problemas bucais podem, com a reabilitação oral, recuperar sua autoconfiança, sorrir sem receio e voltar a se socializar com segurança.
- Equipe Altamente Qualificada:
Nossa equipe conta com especialistas em reabilitação oral, capacitados para oferecer os melhores tratamentos de acordo com as necessidades de cada paciente, garantindo resultados satisfatórios e duradouros.
Por que Escolher a Dental Art?
Na Dental Art: Odontologia Integrada, oferecemos um atendimento completo em reabilitação oral, com foco em devolver a funcionalidade, a estética e a confiança aos nossos pacientes. Nosso compromisso é oferecer um tratamento eficaz, seguro e personalizado para cada caso.
Entre em Contato
Quer saber mais sobre como a reabilitação oral pode transformar seu sorriso? Agende uma consulta com nossos especialistas e descubra a melhor solução para sua saúde bucal.




























